ブログBlog
ホワイトニング完全ガイド
2025年11月26日
こんにちは、院長の伊藤です!
こんなお悩みありませんか?
・結婚式やイベント前に歯を白くしたい
・ホームとオフィスの違いが分からない
・以前ホワイトニングしたけどあまり白くならなかった
・痛み(しみる)が心配
・短期間で確実に白くしたい
ホワイトニングは 方法によって効果や持続期間が大きく変わります。
ほまれ歯科医院では、患者さまの目的に合わせて
「最速」「しみにくい」「色戻りしにくい」方法をご提案しています。
■ホワイトニングの種類は大きく3つ
<1> ホームホワイトニング
自宅でマウスピースに薬剤を入れて行う方法。
■ホームの特徴
最も白さが長持ちしやすい
徐々に白くなるので自然
しみにくい
忙しい方でも続けやすい
■費用
16,500円(税込)
■こんな方におすすめ
・自然な白さにしたい
・長持ちさせたい
・しみるのが不安
・自宅で自分のペースでやりたい
<2> オフィスホワイトニング
歯科医院で光を当てて一気に白くする方法。
■オフィスの特徴
1回で効果を実感しやすい(即効性)
結婚式・イベント前に最適
白さの持続はホームより短め
■費用
24,000円(税込)
■こんな方におすすめ
・すぐに白くしたい
・イベント前
・まずは効果を試したい
<3> デュアルホワイトニング(最もおすすめ)
ホーム+オフィスのセット。短期×長期のいいとこ取り。
■デュアルの特徴
短期間で大きく白くできる
白さが一番長持ちする
色戻りまでの期間が最も長い
■費用
38,000円(税込)
(ホーム+オフィスのセット割)
■こんな方におすすめ
・短期間で白くしたい
・確実に白くしたい
・色戻りをできるだけ遅らせたい
・写真写りを気にされる方
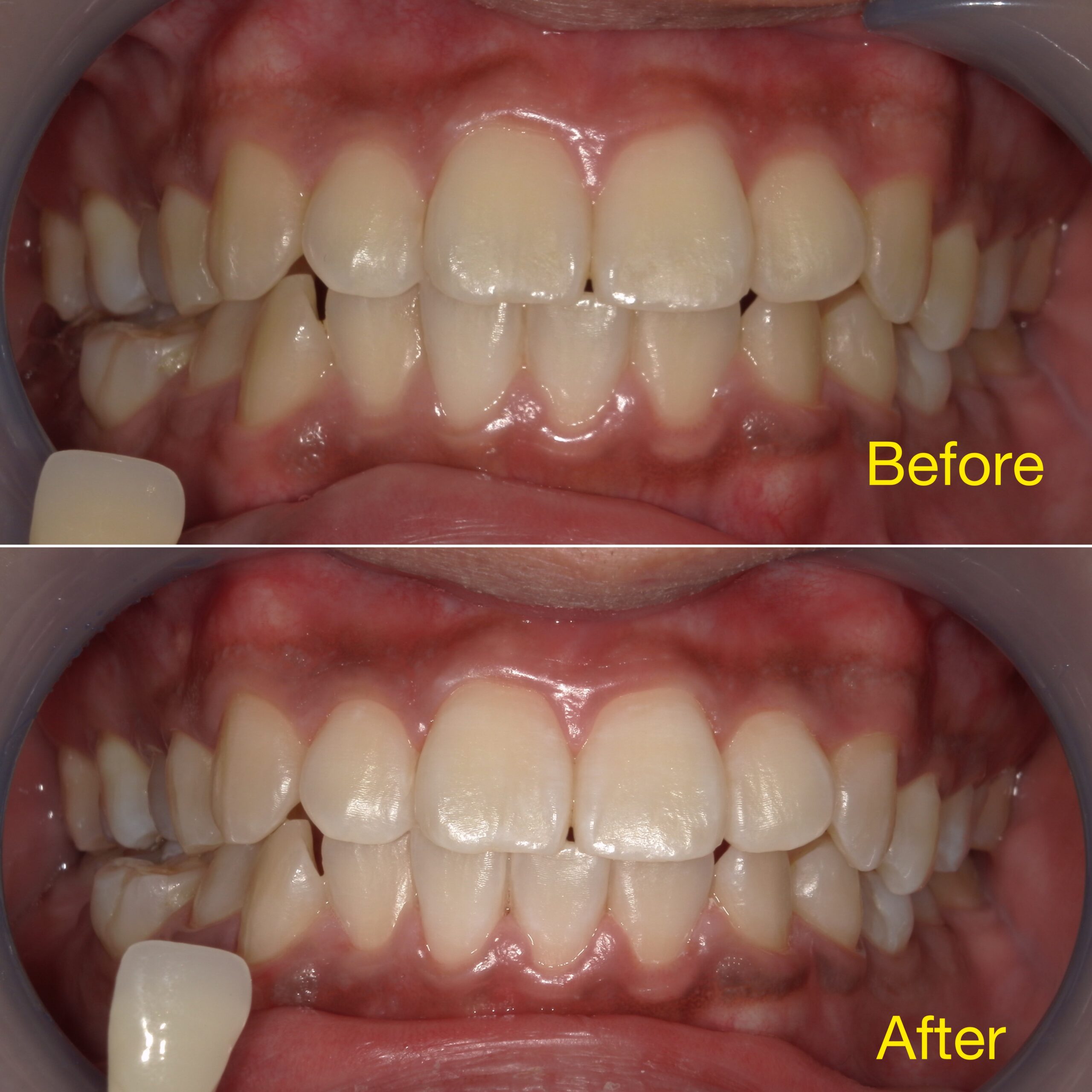
■どれくらい白くなる?
平均で 1〜3段階 の白さアップ。
デュアルでは 3〜5段階UP することもあります。
■ホワイトニングの流れ
カウンセリング
現在の歯の色(シェード)を測定
虫歯・歯石のチェック
オフィス or ホーム開始
1〜2週間後に色の変化をチェック
白さを維持するポイントをアドバイス
■ホワイトニング後の注意点
●24時間は着色しやすいものを控える
コーヒー、紅茶、赤ワイン、カレー、醤油、チョコなど
●しみることがある
個人差があります。多くは数時間で改善。
●色戻りの目安
6ヶ月〜
※デュアルは最も戻りにくい
■効果を長持ちさせるコツ
✓ 定期的なクリーニング
✓ 着色しやすい飲食を続けて摂らない
✓ 毎日のセルフケア
✓ 年1〜2回の追加ホワイトニング
(→ リコール・定期検診の導線にもつながります)
■ホワイトニングが向かない場合
・重度の虫歯や歯周病がある
・妊娠中・授乳中
・神経がない歯 → 白くなりにくい
・被せ物・詰め物 → 白くならない
必要に応じて治療や詰め物の交換を提案いたします。
■よくある質問(FAQ)
Q. 痛みはありますか?
→ しみる方は2〜3割ほど。ほとんどは軽度で数時間で治まります。
Q. どのくらい持続しますか?
→ 一般的に〜6ヶ月。デュアルはもっと長持ちします。
Q. 白くならない人はいますか?
→ 個人差はありますが、初回カウンセリングで最適な方法をご提案します。
執筆者
プロフィール
伊藤 崇史Takafumi Ito
ほまれ歯科医院 院長
当院では、「的確な診断」→「しっかりとした説明」→「拡大視野下における精密治療」→「むし歯・歯周病の再発の予防」といった流れで患者さんごとのニーズに合わせた診療を行なっております。
- 【経歴】
- 2011年3月新潟大学歯学部 卒業 2011年~2012年新潟大学医歯学総合病院・歯科総合診療部 2012年~2016年新潟大学医歯学総合研究科・う蝕顎分野 2015年~2016年新潟大学医歯学総合病院
- 医療連携口腔管理チーム 歯内療法担当
- 【所属】
- 日本審美歯科学会
- 日本顕微鏡歯科学会





