ブログBlog
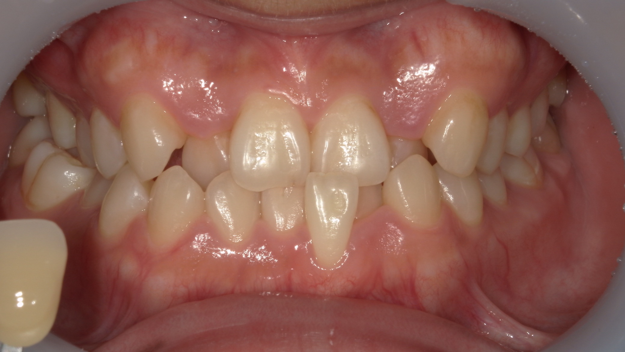
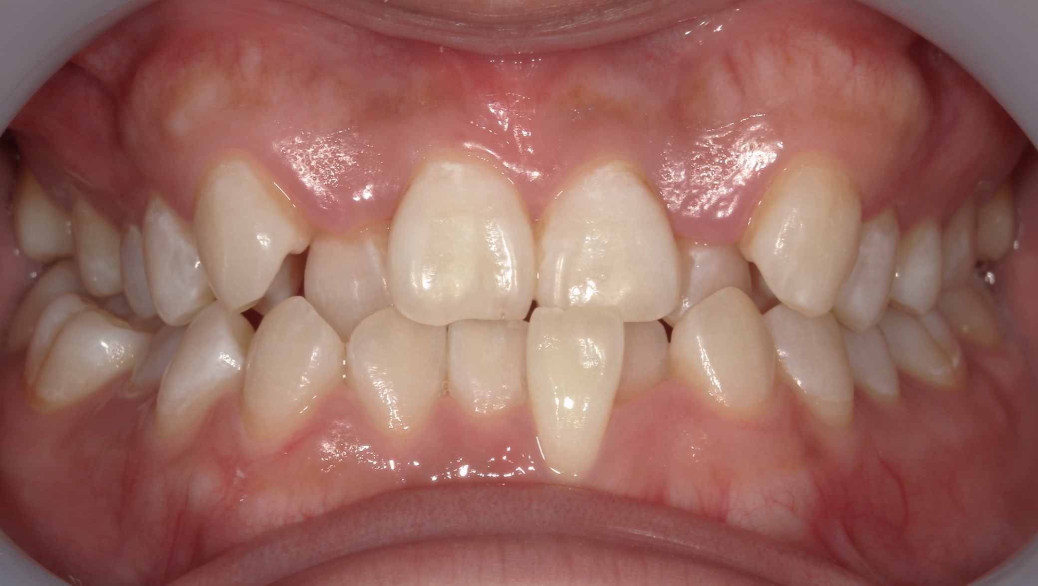
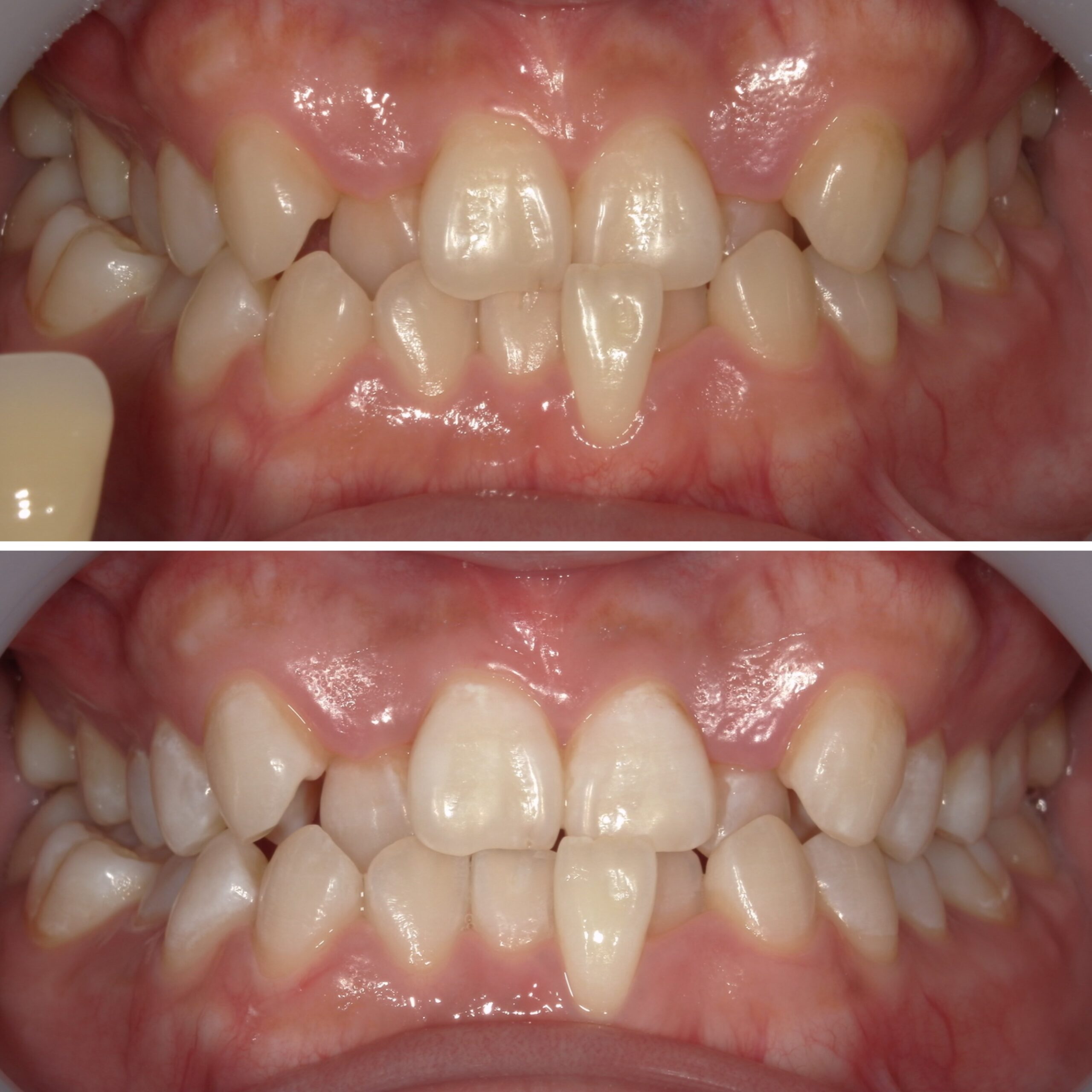
1日で白く!!オフィスホワイトニング
執筆者
プロフィール
伊藤 崇史Takafumi Ito
ほまれ歯科医院 院長
当院では、「的確な診断」→「しっかりとした説明」→「拡大視野下における精密治療」→「むし歯・歯周病の再発の予防」といった流れで患者さんごとのニーズに合わせた診療を行なっております。
- 【経歴】
- 2011年3月新潟大学歯学部 卒業 2011年~2012年新潟大学医歯学総合病院・歯科総合診療部 2012年~2016年新潟大学医歯学総合研究科・う蝕顎分野 2015年~2016年新潟大学医歯学総合病院
- 医療連携口腔管理チーム 歯内療法担当
- 【所属】
- 日本審美歯科学会
- 日本顕微鏡歯科学会






