ブログBlog
根管治療はなぜ失敗する?治らない原因と再発を防ぐ方法【歯科医師が解説】
2026年2月9日
こんにちは、院長のいとうです!
「根管治療 失敗」「根管治療 治らない」と検索してこの記事にたどり着いた方も多いのではないでしょうか。
今回は根管治療の失敗原因と、再発を防ぐ方法について解説します。
神経の治療をしたのに、また痛む…それは珍しいことではありません
「神経の治療をしたはずなのに、また腫れてきた」
「何度も根管治療をやり直している」
このようなお悩みは、歯科医院で非常によく耳にします。
実は根管治療(いわゆる神経の治療)は、歯科治療の中でも特に難易度が高い治療です。
本記事では歯科医師の立場から、
根管治療が失敗する主な原因
治らないケースの特徴
再発を防ぐために重要なポイント
について、できるだけ分かりやすく解説します。
根管治療が「失敗した」とはどういう状態?
一般的に、次のような状態を指します。
・治療後に痛みや腫れが出る
・数か月〜数年後に再発する
・レントゲンで病変が消えない
多くの場合、歯の根の中にとりきれない細菌が残っていることが原因です。
根管治療が失敗する主な5つの原因
① 歯の根の中は非常に複雑

歯の根の中(根管)は、
・非常に細い
・曲がっている
・枝分かれしている
といった特徴があります。
② 細菌を完全に取り除くのが難しい
根管治療の本質は
**「細菌を取り除き、再び侵入させないこと」**です。
しかし、
・唾液が入り込む
・無菌的な環境で処置できていない
・1回あたりの治療時間が短く、無駄に治療回数が多い
といった条件が重なると、細菌が残存しやすくなります。
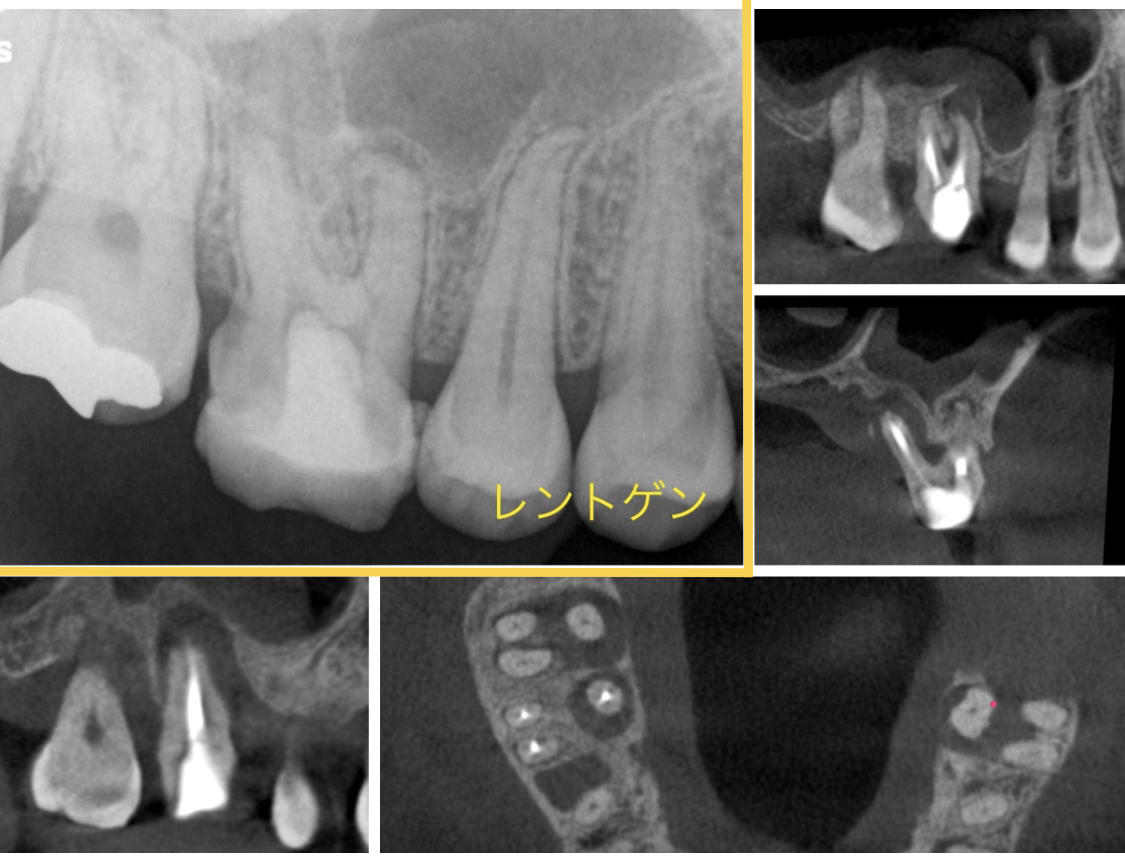
③ CTを使わない診断の限界

通常のレントゲンは2次元画像のため、
・見えない根管
・根の裏側の病変
を正確に把握できないことがあります。
CTを用いることで、原因を立体的に把握でき、診断精度が大きく向上します。
④ 使用する器具・治療環境の違い
根管治療の成功率は、
・ラバーダム防湿
・マイクロスコープ
・使用する器具や薬剤
といった治療環境の違いにも大きく左右されます。
⑤ 歯そのものの状態が厳しい
以下のような場合、根管治療を行っても保存が難しいことがあります。
・大きく歯質が失われている
・歯根破折がある
・重度の歯周病を伴っている
すべての歯が必ず治るわけではありません。
何度も再発する歯はもう治らない?
結論として、治療の限界がある歯も存在します。
ただし、
・CTによる精密診断
・適切な再根管治療
によって、保存できる可能性が高まる歯も多くあります。
再発を繰り返している場合は、
「なぜ治らないのか」を一度見直すことが大切です。
再発を防ぐために重要なポイント
・根管治療に精通したDr.による診断
・ラバーダム防湿
・マイクロスコープ使用
・十分な治療時間
・精密な被せもの治療
これらを満たすことで、根管治療の成功率は大きく向上します。
保険治療と自費治療の違いについて
(※成功率は文献や報告により幅があり、歯の状態や治療条件によって異なります。)
保険治療でも適切な治療は可能です。
ただし、根管治療は初回の成功率が高く、際治療になると成功率はガクッと落ちます。
また、保険の根管治療と精密根管治療(自費)では成功率に大きな違いがあります。こういったことから、初めての根管治療からしっかりと精密に行うことが重要といえます。
当院の根管治療に対する考え方
当院では、
・できる限り歯を残す
・無理な保存は行わない
・治療の限界も正直に説明する
ことを大切にしています。
根管治療は万能ではありませんが、
適切な診断と環境があれば、歯を残せる可能性は確実に高まります。
実際に、他院で抜歯と診断された歯でも、精密診断により保存できたケースを多数経験しています。
まとめ
根管治療は非常に難易度が高い
失敗の原因は複合的
診断精度と治療環境が重要
何度も根管治療を繰り返している方や、抜歯と言われた歯についてお悩みの方は、一度ご相談ください。
執筆者
プロフィール
伊藤 崇史Takafumi Ito
ほまれ歯科医院 院長
当院では、「的確な診断」→「しっかりとした説明」→「拡大視野下における精密治療」→「むし歯・歯周病の再発の予防」といった流れで患者さんごとのニーズに合わせた診療を行なっております。
- 【経歴】
- 2011年3月新潟大学歯学部 卒業 2011年~2012年新潟大学医歯学総合病院・歯科総合診療部 2012年~2016年新潟大学医歯学総合研究科・う蝕顎分野 2015年~2016年新潟大学医歯学総合病院
- 医療連携口腔管理チーム 歯内療法担当
- 【所属】
- 日本審美歯科学会
- 日本顕微鏡歯科学会




