ブログBlog
ダイレクトボンディング:歯を最大限に残したむし歯治療!!
2026年3月23日
こんにちは、院長の伊藤です!
今回はダイレクトボンディングのケースレポートです。
真ん中の詰め物の下で虫歯が再発している状態でした。
メンテナンスで経過を見ていましたが、進行性のむし歯のため治療を行うことに。
詰め物を外すと、内部にむし歯が確認できました。
感染した部分を丁寧に除去し、健康な歯を最大限残すように処置しています。
そこまで大きく見えないかもしれないですが、内部のむし歯だけくり抜いているので、実際はかなり深いむし歯でした。
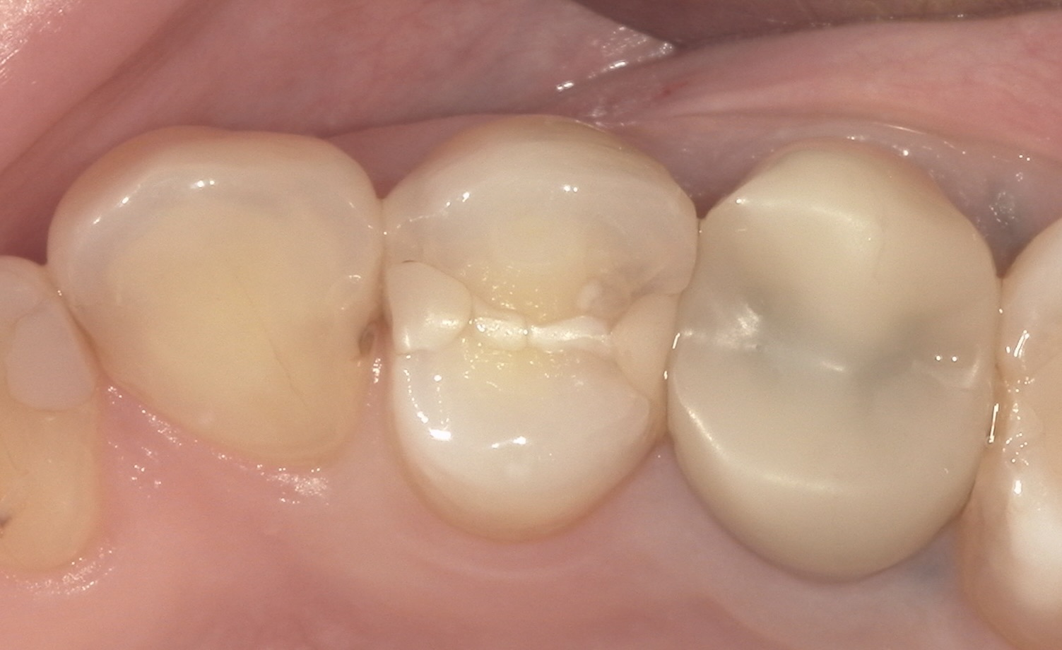
ダイレクトボンディング後
自然な形態・色調を再現し、違和感のない仕上がりになりました!!
👉 ダイレクトボンディングの特徴
・1日で治療が完了
・歯を削る量が少ない
・自然な見た目
・金属を使わないため安心
■ この治療が向いている方
・銀歯を白くしたい
・できるだけ歯を削りたくない
・短期間で治療したい
・見た目にもこだわりたい
■ 当院のこだわり
当院では、
ただ詰めるだけではなく「長くもたせる治療」を大切にしています。
・拡大視野での精密治療
・接着操作の徹底
・咬合まで考えた形態付与
により、再発しにくい修復を目指しています。
■ まとめ
「小さな虫歯だから簡単に治療できる」ではなく、
実はその後の精度で寿命が大きく変わる治療です。
ダイレクトボンディングは、
見た目と機能を両立できる非常に優れた治療法です。
執筆者
プロフィール
伊藤 崇史Takafumi Ito
ほまれ歯科医院 院長
当院では、「的確な診断」→「しっかりとした説明」→「拡大視野下における精密治療」→「むし歯・歯周病の再発の予防」といった流れで患者さんごとのニーズに合わせた診療を行なっております。
- 【経歴】
- 2011年3月新潟大学歯学部 卒業 2011年~2012年新潟大学医歯学総合病院・歯科総合診療部 2012年~2016年新潟大学医歯学総合研究科・う蝕顎分野 2015年~2016年新潟大学医歯学総合病院
- 医療連携口腔管理チーム 歯内療法担当
- 【所属】
- 日本審美歯科学会
- 日本顕微鏡歯科学会








