治療事例|足立区六町で歯科をお探しの方はほまれ歯科医院まで
〒121-0073
東京都足立区六町1丁目1-10

03-5851-8217

足立区六町・ほまれ歯科医院・Instagram
診療時間日祝
10:00~14:30
16:30~19:30

:火曜 午後16:00~19:30
:土曜 午前9:30~13:00、午後14:00~17:00
休診日:木曜、日曜、祝日

治療事例Cases

ダイレクトボンディング : アマルガムが入っている歯のクラックカリエス

2021年10月11日

主訴

なるべく歯を削らず治したい

治療にかかった費用

4.4万円×2本

治療にかかった回数

一回

治療期間

1日


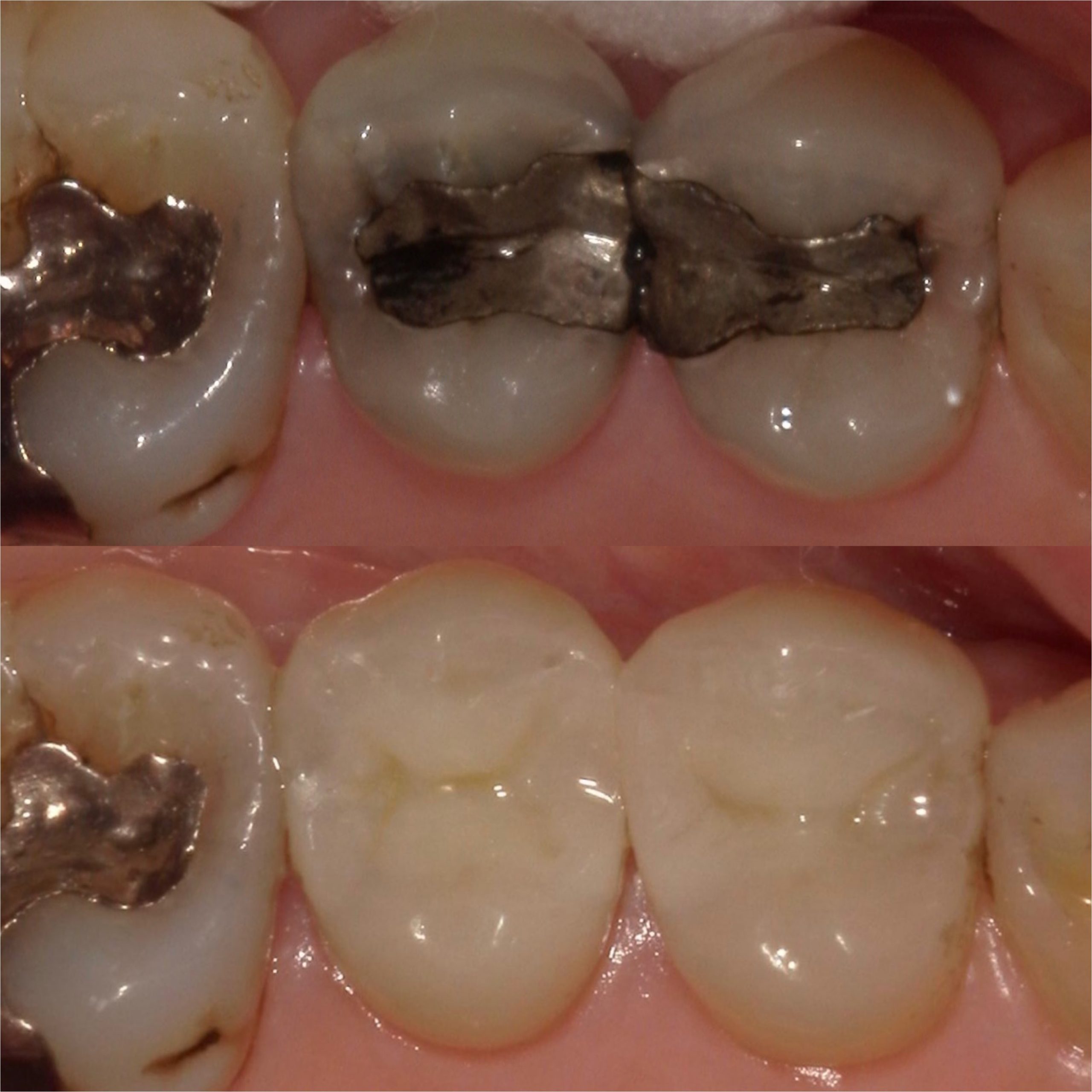
奥歯のむし歯治療を行っていた患者様です。

 

A2BCBD54-4C97-491E-A55E-AC4490CEDDB2.jpeg

 

術前

 

アマルガムという古い金属の詰め物が入っており、その周囲にヒビが入っています。

 

なるべく歯を保存した治療が可能な、ダイレクトボンディングを行うことになりました。

 

0E1854D5-62D4-4CA7-9A88-8E3C7BAA7C6D.jpeg

 

アマルガム除去後

 

98110455-FAA5-47CA-9A5C-A811DC2120C9.jpeg

 

虫歯除去後

 

内部で大きく虫歯が進行していました。

 

9E248153-A5C2-4B7E-BCF2-20F67611A4D0.jpeg

 

ハイブリッドセラミックスを詰めたところです。

 

段差なく、即日で治療終了です。

 

 

ビフォアフター

 

[ カテゴリー : ダイレクトボンディング ]

 
ページトップへ