治療事例|足立区六町で歯科をお探しの方はほまれ歯科医院まで
〒121-0073
東京都足立区六町1丁目1-10

03-5851-8217

足立区六町・ほまれ歯科医院・Instagram
診療時間日祝
10:00~14:30
16:30~19:30

:火曜 午後16:00~19:30
:土曜 午前9:30~13:00、午後14:00~17:00
休診日:木曜、日曜、祝日

治療事例Cases

前歯の接着性ブリッジ(ジルコニアセラミックス)

2023年12月26日

主訴

前歯の固定を治療したい

治療にかかった費用

19.8万円

治療にかかった回数

3回

治療期間

1ヶ月


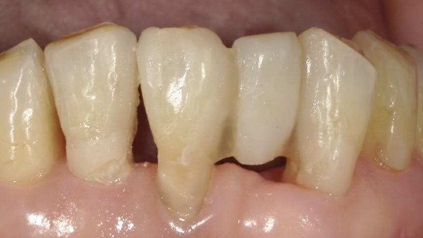
抜いた下の前歯が接着剤で固定されたままなのが気になる、という患者さん

(正面は撮影し忘れました)

貼り付けてあった歯と固定を外したところ

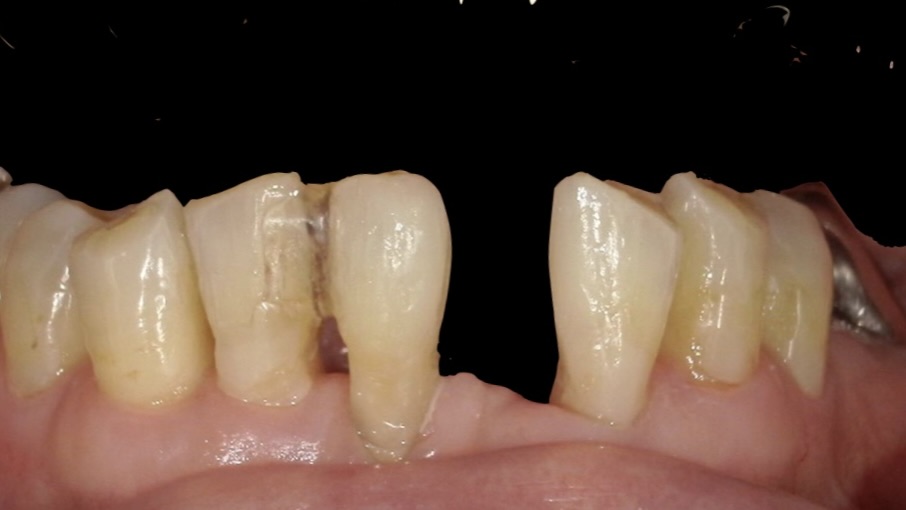
他部位の固定も外し、仮歯に

 

 ラバーダム防湿

ビフォーアフター

 

[ カテゴリー : セラミック接着性ブリッジ ]

 
ページトップへ