治療事例|足立区六町で歯科をお探しの方はほまれ歯科医院まで
〒121-0073
東京都足立区六町1丁目1-10

03-5851-8217

足立区六町・ほまれ歯科医院・Instagram
診療時間日祝
10:00~14:30
16:30~19:30

:火曜 午後16:00~19:30
:土曜 午前9:30~13:00、午後14:00~17:00
休診日:木曜、日曜、祝日

治療事例Cases

歯を削る量を最小限に!ー接着性ブリッジー

2023年11月29日

主訴

なるべく削らずにブリッジを入れたい

治療にかかった費用

19.8万円

治療にかかった回数

4回

治療期間

2ヶ月


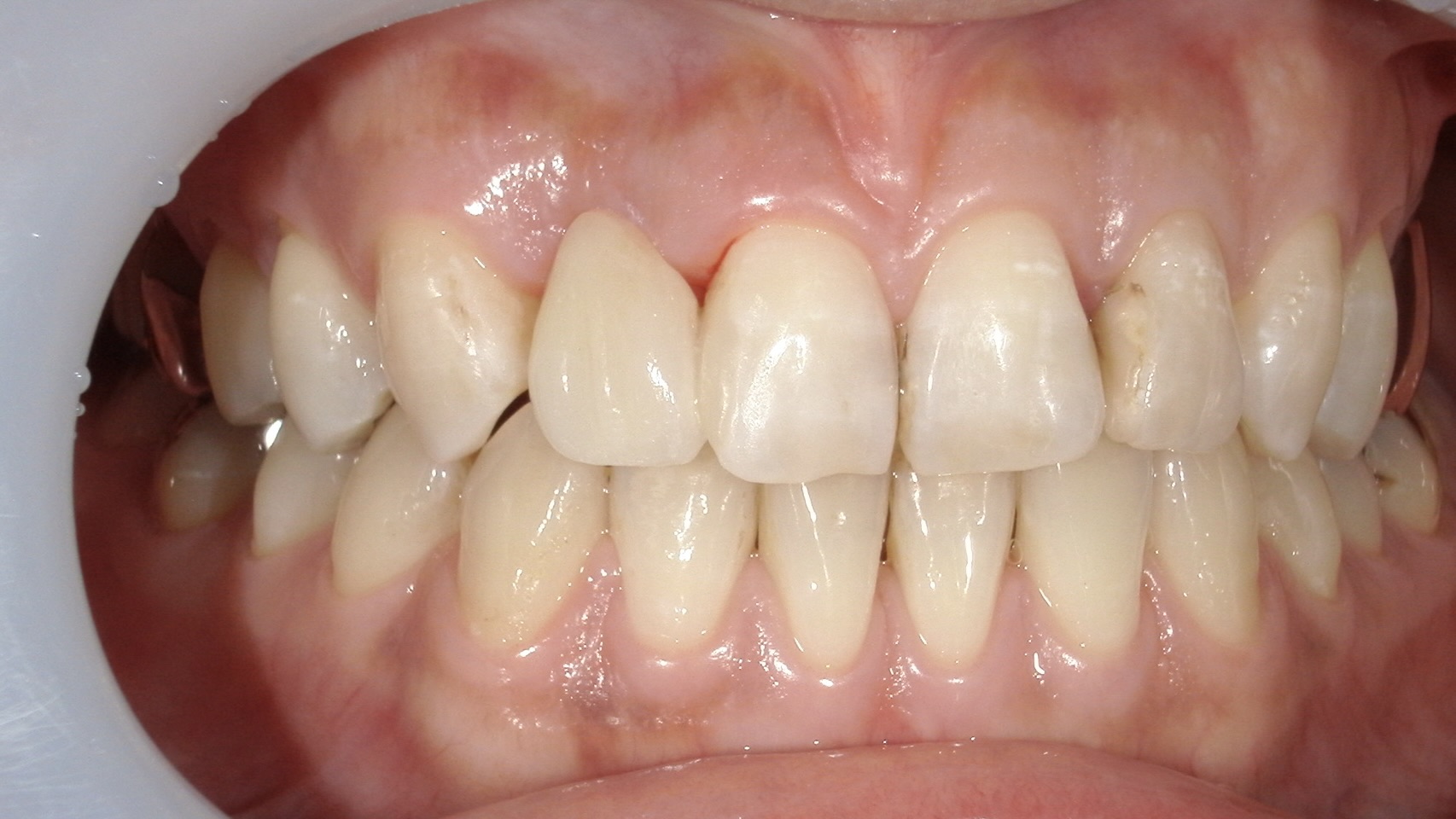
他院で前歯を抜いてもらったところ、両隣の歯を削るブリッジの説明をしてもらった患者さんです。

当院のホームページを見て、歯を大きく削らない接着性ブリッジは出来ないか?と来院されました。

 抜いてもらったところは仮蓋されています。

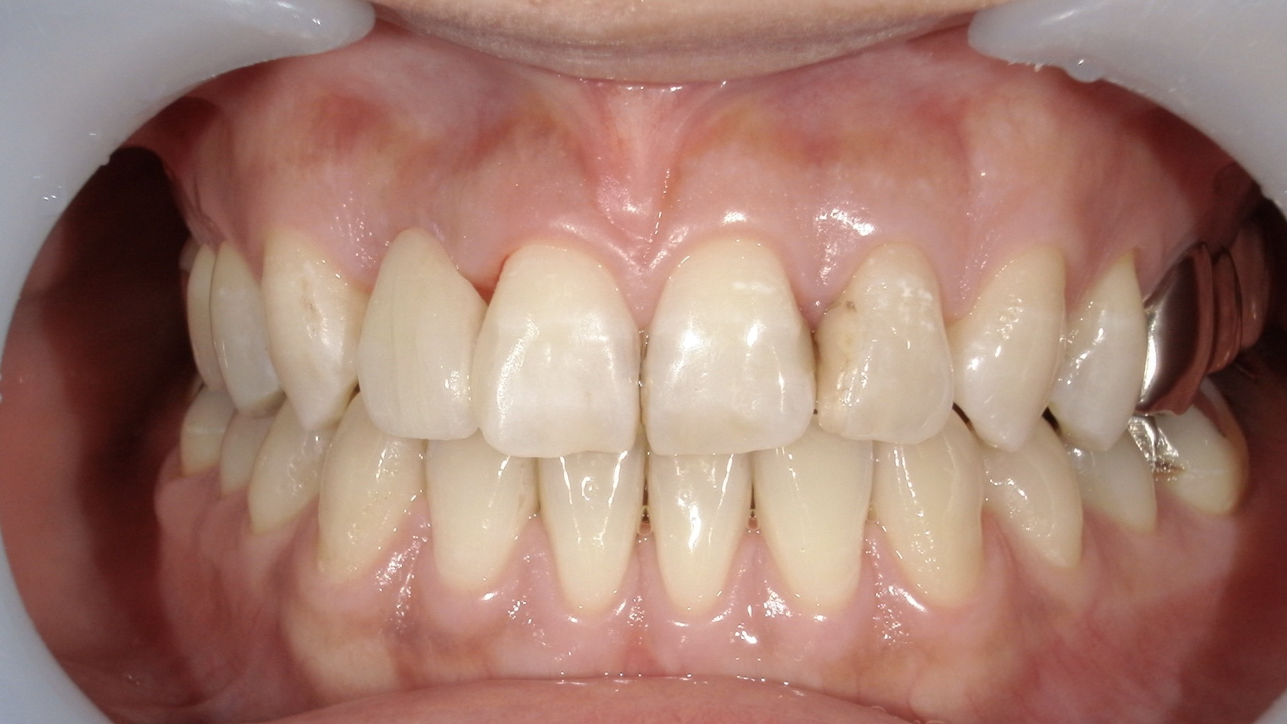
仮蓋を外したところ

仮蓋の影響で歯肉がただれ、隣の歯は小さなむし歯があったので、

歯肉を整え、むし歯治療を行いました。

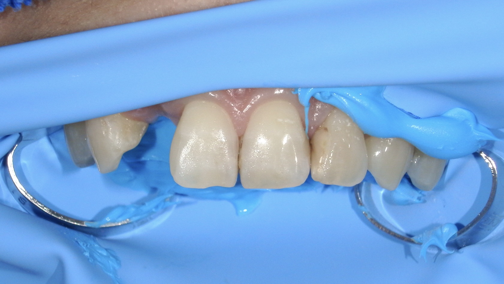
 片方の歯の裏側を、一層だけ削ります。

 普通のブリッジと違い接着が非常に重要なので、ラバーダムを装着します。

 セット後(正面) セット後(右側面)

きれいなセラミックが入りました!

[ カテゴリー : セラミック接着性ブリッジ ]

 
ページトップへ